English
全部
搜索
图片
视频
短视频
地图
资讯
更多
购物
航班
旅游
笔记本
报告不当内容
请选择下列任一选项。
无关
低俗内容
成人
儿童性侵犯
时长
全部
短(小于 5 分钟)
中(5-20 分钟)
长(大于 20 分钟)
日期
全部
过去 24 小时
过去一周
过去一个月
去年
清晰度
全部
低于 360p
360p 或更高
480p 或更高
720p 或更高
1080p 或更高
源
全部
Dailymotion
Vimeo
Metacafe
Hulu
VEVO
Myspace
MTV
CBS
Fox
CNN
MSN
价格
全部
免费
付费
清除筛选条件
安全搜索:
中等
严格
中等(默认)
关闭
筛选器
0:59
TikTok
allthingsradtechstudent
Bonus Video . In depth video on our chest module . I will uplod all the indepth videos of our positioning class for you all . Enjoy 🩻💙#December2024Grad #radtechstudent
RAD TECH STUDENT 🩻📚💗(@allthingsradtechstudent). Poetic Justice - Instrumental - Prod. Dior. Bonus Video . In depth video on our chest module . I will uplod all the indepth videos of our positioning class for you all . Enjoy 🩻💙#December2024Grad #radtechstudent #radiologytechnologist #radiologylife #radiologist #radtechschool # ...
已浏览 3.5万 次
2024年5月15日
Radiology Basics
10:44
Introduction to MRI: Basics 1 - How we get Signal
YouTube
Navigating Radiology
已浏览 11.5万 次
2022年2月24日
10:11
How to Interpret a Chest X-Ray (Lesson 2 - A Systematic Method and Anatomy)
YouTube
Strong Medicine
已浏览 140.5万 次
2013年12月19日
34:07
Cardiac CT Basics
YouTube
Radiology Frameworks
已浏览 2.2万 次
2023年6月7日
热门视频
0:17
Becoming a Radiology Technologist: Insights and Tips
TikTok
radiographer73
已浏览 1455 次
1 个月前
1:17
What do radiology techs do? #creatorsearchinsights #radiologictechnologist #radtechstudent #healthcareworker #radtechlife
TikTok
acoupleofradtechs
已浏览 315 次
5 个月之前
Understanding the Role of Radiology Technologists
TikTok
radiographer73
已浏览 7.2万 次
11 个月之前
Radiology Cases
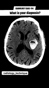
0:11
Radiology case-114 What is your diagnosis ? | Diwakar Patel
Facebook
Diwakar Patel
已浏览 5845 次
5 个月之前
27:53
Radiology Cases in clinical practice-1 Dr. Amr Saadawy
YouTube
Amr Saadawy
已浏览 8591 次
2018年11月20日
0:21
276 reactions · 15 shares | Radiology case -27 What is your diagnosis..? | Diwakar Patel | Facebook
Facebook
Diwakar Patel
已浏览 5万 次
2 周前
0:17
Becoming a Radiology Technologist: Insights and Tips
已浏览 1455 次
1 个月前
TikTok
radiographer73
1:17
What do radiology techs do? #creatorsearchinsights #radiologi
…
已浏览 315 次
5 个月之前
TikTok
acoupleofradtechs
Understanding the Role of Radiology Technologists
已浏览 7.2万 次
11 个月之前
TikTok
radiographer73
Exploring General Radiology: A Comprehensive Guide
已浏览 3.5万 次
8 个月之前
TikTok
radiology.tech226
rad tech life 🤪 #mritech #mritechnologist #mritech #radiol
…
已浏览 1000万 次
2023年5月16日
TikTok
heathrrose
3 things radiology technologist do! #radiologytechnologist #xraytech
…
已浏览 2.1万 次
2022年4月16日
TikTok
acoupleofradtechs
The Role of Radiologic Technologists in Healthcare Careers
已浏览 21.1万 次
2023年10月29日
TikTok
journey_2_rt.r
Understanding the Role of Radiology Technologists
已浏览 10.5万 次
11 个月之前
TikTok
radiographer73
7517627900053458194
8 个月之前
TikTok
Understanding the Role of a Radiology Technologist
已浏览 13.6万 次
10 个月之前
TikTok
radiographer73
0:46
Petzl Shock Absorber Tested
已浏览 15.5万 次
2023年3月30日
YouTube
HowNOT2
1:01:16
2024最新版 放射医学技术士 代码104 专业知识 影像 老师精讲完整版
已浏览 1860 次
2024年12月22日
bilibili
小师兄和他的小盆友
10:48
3 View Standard Hand Radiology Tutorial
已浏览 6.6万 次
2013年8月12日
YouTube
Dr Jamie Motley
14:25
MRI WRIST TUTORIAL
已浏览 3.6万 次
2019年2月14日
YouTube
MedEdPage
2:12
Interventional Radiology Technologist
已浏览 4.2万 次
2015年5月28日
YouTube
CincyKidsRad (CincyKidsRad)
14:46
Cervical Spine Radiology Tutorial
已浏览 7.1万 次
2013年3月22日
YouTube
Dr Jamie Motley
25:39
A Practical Introduction to CT
已浏览 69.4万 次
2016年1月8日
YouTube
Navigating Radiology
2:05
How To Become An X-Ray Technician!
已浏览 6.4万 次
2018年4月11日
YouTube
Antonio J. Webb, M.D.
9:44
Thoracic Spine Radiology Tutorial
已浏览 4.4万 次
2013年3月22日
YouTube
Dr Jamie Motley
9:28
Introduction to Radiology: Computed Tomography
已浏览 14.7万 次
2018年5月7日
YouTube
Yale Radiology and Biomedical Imaging
32:10
Getting into radiology training
已浏览 2万 次
2017年7月26日
YouTube
The Royal College of Radiologists
11:08
Introduction to Radiology: Conventional Radiography
已浏览 24.7万 次
2018年4月27日
YouTube
Yale Radiology and Biomedical Imaging
12:54
Radiation Safety Training for Industrial X-Ray
已浏览 2.8万 次
2020年5月5日
YouTube
Corwin Health Physics Inc.
17:55
Radiology Tech Q&A
已浏览 43.1万 次
2016年2月8日
YouTube
Troy the X-ray Boy
1:53
What Does an IR Technologist Do?
已浏览 3万 次
2015年9月3日
YouTube
CincyKidsRad (CincyKidsRad)
1:37
A Day in the Life - Radiological Technician
已浏览 17.3万 次
2008年8月1日
YouTube
CareerRx
12:42
How to Learn Radiology - Top 10
已浏览 4.2万 次
2020年11月28日
YouTube
Dr Christoph Agten
8:07
Introduction to Radiology: Magnetic Resonance Imaging
已浏览 11.8万 次
2018年5月18日
YouTube
Yale Radiology and Biomedical Imaging
25:05
2020 CPT Radiology Section
已浏览 9534 次
2020年5月23日
YouTube
Dr. Lisa L Campbell®
观看更多视频
更多类似内容
反馈